持续精进 大华股份AI又取得两项突破
2021大华股份战略升级发布会上
大华发布了一站式人工智能开发平台
Dahua Jinn 大华巨灵平台
加速了人工智能规模产业化落地
近日,大华股份依托自研的训练框架开发的医疗领域病理切片弱监督语义分割技术,在WSSS4LUAD比赛上取得第一;开发的实例分割技术,在MSCOCO比赛上取得第一;关键指标超越一流AI公司和顶尖学术研究机构,彰显了大华在目标分割领域深厚的技术实力和创新能力。

大华AI刷新WSSS4LUAD语义分割任务记录
https://wsss4luad.grand-challenge.org/evaluation/test-phase/leaderboard/
WSSS4LUAD(Weakly Supervised Semantic Segmentation for Lung Adenocarcinoma)比赛及LUAD_HistoSeg数据集,由广东省人民医院、电子科技大学、北京邮电大学等机构学者组织发起,旨在用图像级别的分类标签实现组织病理学图像的语义分割,对推动人工智能在病理学图像的快速发展具有重大意义。

大华AI刷新MSCOCO实例分割任务记录
https://competitions.codalab.org/competitions/20796#results
MSCOCO(Microsoft Common Objects in Context)数据集,微软构建的大型数据集,实例分割赛道共80个类别,是衡量模型性能权威的数据集之一,吸引了国内外著名AI实验室和顶尖学术研究结构的积极参与。
近年来,大华取得60多项全球竞赛评测第一的好成绩,积累了1300多项AI发明专利。大华AI取得快速突破、始终保持技术领先优势的背后,正是大华巨灵平台赋予的产业创新的科研能力。大华巨灵平台自研的训练框架,可高效精准的完成大华每年100多万个训练任务,且最快完成的任务仅需10分钟,高效支撑了大华在AI新算法领域的技术研究。

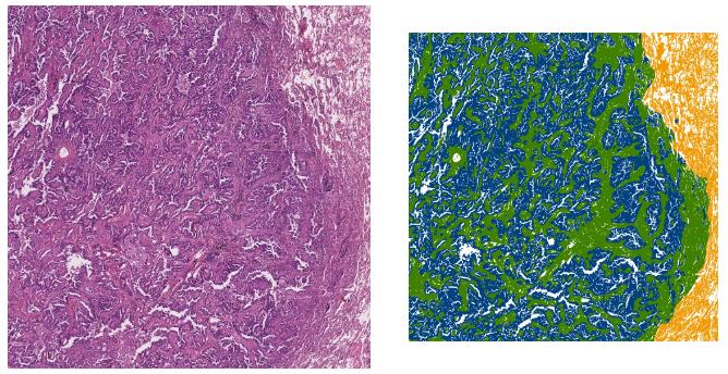
医疗病理学领域 通过语义分割技术实现组织切片识别效果
本次获奖的AI算法,依托自研的领先的大华巨灵人工智能开发平台,通过弱监督和半监督学习技术,大幅降低算法对数据的要求,在医疗病理学、安检X光、毫米波成像等领域解决训练素材获取难度大、专业性要求极高等难题,极大提升了目标分割的精度效果,有效助力场景化应用落地。

交通场景实例分割解析效果
智能交通领域,依托实例分割技术,帮助自动解析交通标志、标线、信号灯、人机非等交通要素,广泛应用于电子警察、道路卡口、交通事件检测、智慧停车等多场景业务,实现对道路交通态势、交通事件等的有效识别,全面提升城市交通治理能力。
科研能力+工程能力
大华巨灵平台 赋能百业焕新
聚焦科研领域,大华始终保持技术的前瞻性,围绕产业需求深度创新,持续构建产业创新的科研能力。随着数智化时代的到来,人工智能不再只是算法、算力,已进入业务智能的产业化、规模化落地阶段。在推进人工智能产业化过程中,大华构建了点、线、网的技术业务架构体系,发布大华巨灵一站式人工智能开发平台,实现一站式算法及方案开发交付,全力推动感知智能、数据智能到业务智能的“全智能”闭环产业化落地。

AI推动产业快速落地
“算法方案多、交付响应快、效果效率好、部署实施省”,这是大华巨灵平台的优势。在工程领域,大华深入千行百业场景,面对海量碎片化市场需求及网状的业务架构,充分结合工程现场与算法性能,保障交付质量、缩短交付周期、降低成本,为用户提供丰富的算法和智能化方案。目前已发布1000多种可商用算法,通过快速灵活组装,快速交付完整的适应城市、企业需求的算法方案,加速推动千行百业数智化转型发展。

AI赋能百业焕新
面向城市数字化创新,大华将数智化技术与城市治理各业务流程充分适配,不断构建面向城市管理、市容市貌治理、社区管理服务等智能感知服务和精细化管理能力,推出垃圾桶满溢检测、危险物品检测、高空抛物检测、非机动车入梯检测等场景应用,助力提升城市治理水平,让管理更高效,让服务更便民!
针对企业数字化、智能化需求,大华深入企业场景的神经末梢,聚焦“优化安全体系、提高生产价值、辅助经营管理”三大核心价值方向,构建数智生产力,赋能企业高质量发展。比如在物流、制造等领域,推出传送带拥堵检测、跨越传送带检测、零件检测、生产计数等场景应用,并通过数字技术加载赋能用户业务流程改造升级, 赋能企业生产提效、辅助经营管理。
人工智能应用百花齐放,智能化需求持续增长。大华将以“Dahua Think# 云联万物 数智未来”战略为引领,聚焦城市、企业业务场景持续创新,从交通治理到民生服务、从安全生产到智能制造、从农牧养殖到环保生态等,不断突破传统业务边界,不断拓宽AI应用领域,与客户携手共建数智应用的领先优势,赋能千行百业数智化升级,推动经济社会可持续、健康、高质量发展。
关于大华
浙江大华技术股份有限公司,是全球领先*的以视频为核心的智慧物联解决方案提供商和运营服务商,现拥有16000多名员工,研发人员占比超50%,产品覆盖全球180个国家和地区。公司以技术创新为基础,提供端到端的视频监控解决方案、系统及服务,为城市运营、企业管理、个人消费者生活创造价值。
联系大华
联系我们:400-672-8166
阮伊泓:18106510218
公司地址:杭州市滨江区滨安路1199号
公司网址:https://www.dahuatech.com/
![]() 关注微信公众号 |
免责声明:本文图文素材来源于大华,本文仅代表作者个人观点,本站不作任何保证和承诺,若有任何疑问,请与本文作者或提供稿件商家联系。如涉及到侵权,请联系我们及时删除。






















官方微博